Olaylar
Bizimle İletişim
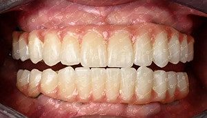
Müşteri Davası. 4 boyutlu zirkonya bloğu.
2024-08-29
Bulgaristanlı Ivaylo Dimitrov.
Malzemeler: Yucera 4D Pro Çok Katmanlı Zirkonya Disk
Gölge:
2024-08-29
Bulgaristanlı Ivaylo Dimitrov.
Malzemeler: Yucera 4D Pro Çok Katmanlı Zirkonya Disk
Gölge:
Sorgularınızı doğrudan bize gönderin.
MESAJ BIRAKIN
Sizi en kısa sürede arayacağız!
Mesajınız 20-3000 karakter arasında olmalı!
Lütfen emailinizi kontrol edin!
Daha fazla bilgi daha iyi iletişimi kolaylaştırır.
Başarıyla gönderildi!
Sizi en kısa sürede arayacağız!
MESAJ BIRAKIN
Sizi en kısa sürede arayacağız!
Mesajınız 20-3000 karakter arasında olmalı!
Lütfen emailinizi kontrol edin!